4D ORTHO laboratoire D'orthodontie
Plateforme Pour Les Dentistes et Les Orthodontistes
Commandez et recevez vos aligneurs en toute simplicité avec notre plateforme en ligne.



Envoi des cas

Production

Livraison
Un laboratoire spécialisé en orthodontie exclusive à Rabat, met tout en oeuvre pour proposer les meilleurs services et les dernières techniques:
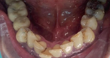
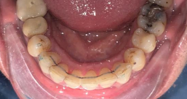
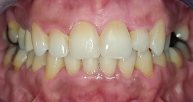
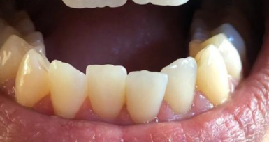
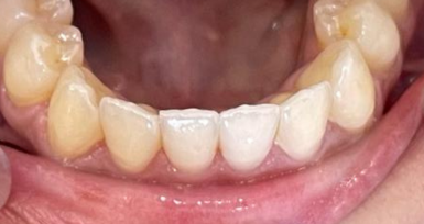
Chirurgiens dentistes, Orthodontistes, Stomatologues.Du moulage d’étude à l’orthèse la plus complexe, de l’emballage à la livraison, nous vous assurons un suivi technique rigoureux, le respect des délais ainsi qu’une qualité de service sur mesure. Notre expérience nous permet de vous conseiller dans le choix de vos appareils pour la réussite de vos traitements et la satisfaction de vos patients. 4D ORTHO est au service de l’Orthodontie et de ces clients.















Notre équipe est fière de fournir des appareils dentaires de qualité supérieure à vos patients. Nous utilisons les matériaux les plus récents et les plus fiables pour fabriquer nos appareils et suivons des protocoles rigoureux pour garantir leur durabilité et efficacité.




















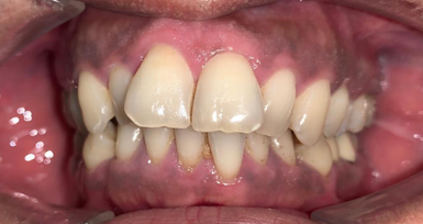
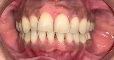
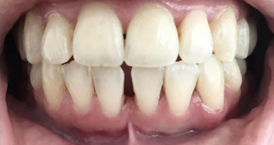
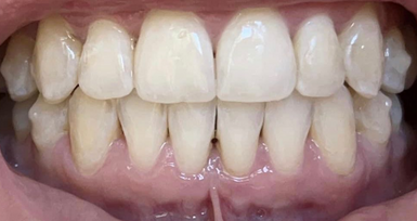
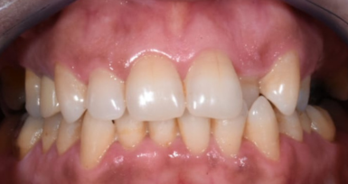
Nous avons changé les sourires de plus de 10,000 personnes












92,avenue des Nations Unies Agdal, Rabat, Maroc
4dortho.maroc@gmail.com
05376-73872/ 0607285018




is proudly powered by WordPress